- Home
- Krankheiten
- Mundkrankheiten im Überblick
Mundkrankheiten im Überblick: Von harmlos bis gefährlich
Von Karies, über Entzündungen bis hin zu Tumoren: Es gibt viele verschiedene Mundkrankheiten, die harmlos, aber auch ernst zu nehmend sein können. Sehen Sie in der Galerie die häufigsten Erkrankungen im Mund – mit Bildern und wichtigen Informationen.
Hinweis: Die Galerie ersetzt keine medizinische Diagnose. Wer auffällige Veränderungen oder Beschwerden im Mundraum hat, sollte diese ärztlich abklären lassen. Möglicherweise ist eine gezielte Behandlung erforderlich.
Mundsoor: Bild von Pilz im Mund
Mundsoor ist eine Mundkrankheit, die typischerweise Säuglinge oder Menschen mit geschwächtem Immunsystem betrifft. Dabei handelt es sich um eine Infektion mit dem Pilz Candida albicans. Mundsoor zeigt sich durch einen weißen, abwischbaren Belag auf der Zunge und einer geröteten Mundschleimhaut. Da meist eine Behandlung mit Antipilzmitteln nötig ist, sollte ärztlicher Rat eingeholt werden.
Karies ist häufige Mundkrankheit
Karies kann entstehen, wenn Bakterien Säuren produzieren und so den Zahnschmelz schädigen. Im Frühstadium zeigt sich Karies meist durch weiße oder bräunliche Flecken. Unbehandelt drohen Löcher im Zahn oder Zahnausfall. Etwa 98 Prozent aller Menschen haben im Laufe des Lebens Karies. Umso wichtiger ist eine regelmäßige und gründliche Mundhygiene.
Lesetipp: 13 Tipps für schöne und gesunde Zähne
Zahnverletzungen? Ärztliche Kontrolle wichtig
Vor allem durch Unfälle können Zähne abbrechen oder kleine Risse entstehen. Auch Zähneknirschen kann langfristig den Zahnapparat schädigen. Schon kleine Zahndefekte können Schäden wie Karies oder Zahnwurzelentzündungen zur Folge haben. Deshalb sollte bei jeder Zahnverletzung eine ärztliche Untersuchung erfolgen.
Lesetipp: Zahn abgebrochen – was tun?
Mund- und Zahnfleischentzündungen
Entzündungen im Mund können Zahnfleisch, Zunge oder Schleimhäute betreffen. Typische Symptome einer Entzündung sind etwa Rötungen, Schmerzen und Schwellungen. Auch Zahnfleischbluten kann Anzeichen einer Zahnfleischentzündung sein. Bei anhaltenden oder ausgeprägten Beschwerden sollte ärztlicher Rat eingeholt werden.
Lesetipp: Zahnfleischentzündung – 7 einfache Hausmittel, die helfen
Aphthen: Harmlose Bläschen im Mund
Aphthen sind kleine, runde Bläschen, die auf der Mundschleimhaut an der Wangen- oder Lippeninnenseite entstehen können. Häufig schmerzen die Geschwüre stark. Sie heilen jedoch innerhalb von ein bis zwei Wochen ab. Aphthen können immer wieder entstehen, oft etwa bei geschwächtem Immunsystem. Auch Stress soll einen Einfluss haben.
Lesetipp: Welche Hausmittel helfen bei Aphthen?
Mundfäule: Was ist herpetische Stomatitis?
Als Mundfäule bezeichnen Fachleute eine Erstinfektion mit Herpes-simplex-Viren, die meist Kinder betrifft. Dabei bilden sich viele kleine schmerzhafte Bläschen und Geschwüre an Mundschleimhaut, Lippen oder am Zahnfleisch. Begleitend kommt es oft zu starkem Mundgeruch, geschwollenen Lymphknoten, allgemeinem Krankheitsgefühl und Fieber. Ärztlicher Rat ist empfehlenswert, vor allem bei kleinen Kindern. Mundfäule heilt in der Regel nach ein bis zwei Wochen ab.
Herpes am oder im Mund
Nach der ersten Infektion mit Herpes verbleibt das Virus im Körper und kann im Verlauf des Lebens immer wieder reaktiviert werden. Möglich ist dann etwa Lippenherpes, der sich auch im Mundraum ausbreiten kann. Die Bläschen heilen oft innerhalb von Tagen wieder ab, sind jedoch schmerzhaft.
Lesetipp: Lippenherpes – 10 Hausmittel gegen Herpes labialis
Hand-Fuß-Mund-Krankheit betrifft meist Kinder
Die Hand-Fuß-Mund-Krankheit ist eine Virusinfektion, die vor allem Kinder betrifft, seltener Erwachsene. Es kommt zu roten Pusteln oder Flecken an Händen und Füßen sowie zu schmerzhaften Bläschen im und um den Mund. Auch Fieber, Halsschmerzen und ein allgemeines Krankheitsgefühl sind möglich. Die Hand-Fuß-Mund-Krankheit ist hochansteckend, verläuft jedoch meist harmlos und heilt von alleine ab.
Krebsvorstufen im Mund erkennen
Vorstufen von Krebs im Mundraum können beispielsweise auffällige Zungenbeläge sein. Dazu zählen etwa weiße Flecken, die sich nicht wegwischen lassen (Leukoplakie) oder rote Flecken (Erytrhoplakie). Diese bleiben oft lange unbemerkt, da sie keine weiteren Beschwerden verursachen. Derartige Veränderungen sollten immer ärztlich untersucht werden, denn schlimmstenfalls können sie sich zu bösartigen Tumoren entwickeln.
Tumoren im Mundbereich
Tumoren können an der Zunge, am Gaumen, an den Wangen oder am Mundboden entstehen. Schlecht heilende, schmerzhafte Wunden und Geschwüre im Mundbereich oder auffällige Zungenbeläge sollten immer ärztlich untersucht werden. Denn eine frühzeitige Diagnose und Behandlung sind für den Verlauf von Mundhöhlenkrebs wie Zungenkrebs entscheidend.
Lesetipp: Kopf-Hals-Tumoren – Symptome der verschiedenen Krebsarten
Mandelsteine: Harmlose Ablagerungen
Sammeln sich Essensreste, abgestorbene Zellen und Bakterien in den Gaumenmandeln an und verhärten, können sogenannte Mandelsteine entstehen. Diese sind in der Regel harmlos, verursachen mitunter jedoch Schluckbeschwerden und Mundgeruch. Wer große Mandelsteine und wiederkehrende Beschwerden hat, sollte ärztlichen Rat einholen. Wichtig: Die Mandelsteine niemals selbst entfernen, da Verletzungsgefahr besteht.
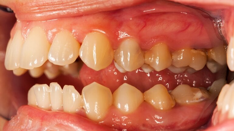
Häufige Munderkrankung: Parodontitis
Eine weitere häufige Munderkrankung ist Parodontitis. Dabei handelt es sich um eine chronische Entzündung des Zahnhalteapparats, die sich meist aus einer unbehandelten Zahnfleischentzündung entwickelt. Wird eine Parodontitis nicht behandelt, drohen ein Zahnfleischrückgang und der Verlust von Zähnen.
Lesetipp: Trockene Lippen – 8 häufige Ursachen
Eingerissene Mundwinkel
Mundgeruch: Häufiges Problem im Mundbereich
Auch Mundgeruch zählt zu den besonders häufigen Problemen im Mundbereich. Ursache sind meist Bakterien, die sich auf Zunge oder Zähnen ausbreiten. Aber auch Zahnfleischentzündungen, Parodontitis, Rauchen oder Magen-Darm-Probleme können dahinterstecken. Hilfreich ist meist eine gründliche Mundhygiene. Anhaltender Mundgeruch sollte ärztlich untersucht werden.
Test: Habe ich Mundgeruch?
Speicheldrüsenentzündung: Oft besonders schmerzhaft
Entzündet sich die Speicheldrüse am Ohr oder Unterkiefer, ist das meist sehr schmerzhaft. Eine solche Speicheldrüsenentzündung (Sialandenitis) wird oft durch Viren, Bakterien oder Speichelsteine ausgelöst. Schmerzhafte Schwellungen der Drüsen, Schluckbeschwerden und möglicherweise auch Fieber sind Anzeichen, die ärztlich untersucht werden sollten. Unter Umständen ist eine Behandlung mit Antibiotika notwendig.
Xerostomie: Mundtrockenheit betrifft viele
Fehlt es dauerhaft an Speichel, kann sich eine krankhafte Mundtrockenheit (Xerostomie) entwickeln. Auslöser können etwa Medikamente, Stress, eine zu geringe Trinkmenge, eine Strahlentherapie oder das Sjögren-Syndrom sein. Betroffene sollten möglichst viel trinken und befeuchtende Pastillen lutschen. Bei anhaltender Mundtrockenheit ist eine ärztliche Abklärung sinnvoll.
Von Karies, über Entzündungen bis hin zu Tumoren: Es gibt viele verschiedene Mundkrankheiten, die harmlos, aber auch ernst zu nehmend sein können. Sehen Sie in der Galerie die häufigsten Erkrankungen im Mund – mit Bildern und wichtigen Informationen.
Hinweis: Die Galerie ersetzt keine medizinische Diagnose. Wer auffällige Veränderungen oder Beschwerden im Mundraum hat, sollte diese ärztlich abklären lassen. Möglicherweise ist eine gezielte Behandlung erforderlich.
- Online-Informationen von DocCheck: Karies: https://flexikon.doccheck.com/de/Karies (Abruf: 09/2025)
- Online-Informationen des Berufsverbands der Kinder- und Jugendärzt*innen e.V.: Was ist Mundsoor?: https://www.kinderaerzte-im-netz.de/krankheiten/mundsoor/ (Abruf: 09/2025)
- Online-Informationen von Deximed: Aphthen: https://deximed.de/home/klinische-themen/magen-darm-trakt/patienteninformationen/mundhoehle/aphthen (Abruf: 09/2025)
- Online-Informationen von Deximed: Orale Herpes-simplex-Infektion: https://deximed.de/home/klinische-themen/hals-nase-ohren/krankheiten/mundhoehle/herpes-simplex-infektion-orale (Abruf: 09/2025)
- Online-Informationen von Deximed: Burning-Mouth-Syndrom (BMS): https://deximed.de/home/klinische-themen/hals-nase-ohren/krankheiten/mundhoehle/burning-mouth-syndrom (Abruf: 09/2025)
- Online-Informationen von Deximed: Hand-Fuß-Mund-Krankheit: https://deximed.de/home/klinische-themen/paediatrie/krankheiten/infektionen/hand-fuss-mund-krankheit (Abruf: 09/2025)
- Online-Informationen der Stiftung Deutsche Krebshilfe: Krebs im Mund-Kiefer-Gesichtsbereich: https://www.krebshilfe.de/informieren/ueber-krebs/krebsarten/krebs-im-mund-kiefer-gesichtsbereich/ (Abruf: 09/2025)
- Online-Informationen des Pschyrembel: Tonsillenstein: https://www.pschyrembel.de/Tonsillenstein/B0CSK (Abruf: 09/2025)
- Online-Information des Pschyrembel: Cheilitis angularis: https://www.pschyrembel.de/Mundwinkelrhagade/K02E5/doc/ (Abruf: 09/2025)
- Online-Informationen des Pschyrembel: Foetor ex ore: https://www.pschyrembel.de/Mundgeruch/K080G/doc/ (Abruf: 09/2025)
K00|K01|K02|K03|K04|K05|K06|K07|K08|K09|K10|K11|K12|K13|K14