- Home
- Krankheiten
- Krebs
- Teratom Symptome
Teratom: Tumor mit Zähnen und Haaren
Teratome sind Tumoren, die entstehen, wenn sich Keimzellen unkontrolliert vermehren. Keimzellen können sich grundsätzlich zu allen möglichen Gewebetypen entwickeln. Aus diesem Grund enthalten Teratome Gewebe, die dort eigentlich gar nicht hingehören: Haare, Zähne, Knochen oder Fettgewebe beispielsweise.
Teratome treten vor allem in den Eierstöcken oder Hoden auf, seltener etwa im Bauch oder Gehirn. Die meisten dieser Tumoren sind gutartig, in seltenen Fällen können sie jedoch bösartig sein oder Komplikationen verursachen. Welche Teratome es gibt, wo sie auftreten und was für Symptome sie hervorrufen, erfahren Sie in dieser Bildergalerie.
Hinweis: Diese Bildergalerie ersetzt keine ärztliche Diagnose. Die genannten Symptome können auch andere, harmlose Ursachen haben. Bei anhaltenden oder starken Beschwerden ist ärztliche Hilfe ratsam.
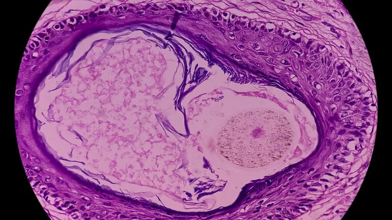
Reife Teratome enthalten Gewebe wie Haut, Zähne und Haare
Reife Teratome sind meist gutartig und enthalten vollständig ausdifferenziertes Gewebe wie Haut, Fett, Knochen oder Zähne. Aufgrund ihres Aussehens werden sie umgangssprachlich manchmal als fehlentwickelter Zwilling bezeichnet. Medizinisch handelt es sich dabei jedoch um körpereigenes Gewebe, das durch eine abnorme Entwicklung von Keimzellen entsteht. Reife Teratome sind meist bereits vor der Geburt angelegt, werden jedoch oft erst im Jugend- oder Erwachsenenalter entdeckt.
Lesetipp: Seltener Blutkrebs – 6 Symptome bei Haarzellleukämie
Unreife Teratome teilen sich schneller
Unreife Teratome sind deutlich seltener und enthalten zusätzlich unreifes, embryonales Gewebe, das sich schneller teilt und häufiger bösartig ist. Sie treten vor allem bei Kindern, Jugendlichen und jungen Erwachsenen auf.
Teratome bleiben häufig lange symptomlos
Reife Teratome wachsen langsam und verdrängen das umliegende Gewebe zunächst kaum. Deshalb bereiten viele Teratome lange keine Beschwerden und fallen erst zufällig bei Ultraschall- oder anderen bildgebenden Untersuchungen auf. Da unreife Teratome meist schneller wachsen und sich biologisch aggressiver verhalten, verursachen sie häufiger und früher Beschwerden. Die Art der Symptome unterscheidet sich bei beiden Teratomen nicht.
Lesetipp: Hypophysenadenom – Symptome des gutartigen Hirntumors
Teratom: Schwellungen und Schmerzen sind Symptome
Ein Teratom kann sich zunächst als schmerzlose Schwellung oder tastbarer Knoten bemerkbar machen, etwa im Bauchraum, im Unterleib oder am Hoden. Wird der Tumor größer, kann ein Druck- oder Völlegefühl entstehen. In fortgeschrittenen Fällen oder bei Komplikationen treten auch Schmerzen auf, die mitunter plötzlich und stark sein können.
Symptome bei einem Teratom am Eierstock
Bei einem Teratom am Eierstock können neben einem Druckgefühl im Bauch und Unterleibsschmerzen auch Völlegefühl sowie Zyklusstörungen auftreten.
Lesetipp: Eierstockzyste – Symptome und Anzeichen
Teratom: Vergrößerte Hoden sind Symptom
Ein Teratom des Hodens macht sich häufig durch eine schmerzlose Vergrößerung bemerkbar. Betroffene berichten außerdem über ein Spannungs- oder Schweregefühl im Hoden. Schmerzen treten eher selten auf, können aber vorkommen, etwa bei größeren Tumoren oder Komplikationen.
Lesetipp: Hodenveränderungen – Bilder von krankhaft veränderten Hoden
Teratom im Brustraum: Atemnot und Husten
Liegt ein Teratom im Brustraum, kann es auf die Atemwege oder die Lunge drücken. Mögliche Symptome sind Atemnot, anhaltender Husten oder ein Engegefühl in der Brust, insbesondere bei größeren Tumoren. Auch Schluckbeschwerden sind möglich.
Teratom im Gehirn: neurologische Auffälligkeiten
Entsteht ein Teratom im Gehirn, können je nach betroffenem Bereich neurologische Symptome auftreten. Dazu zählen etwa Kopfschmerzen, Sehstörungen, Schwindel oder andere Auffälligkeiten des Nervensystems wie Lähmungserscheinungen oder Koordinationsstörungen.
Lesetipp: Hirntumor – 14 mögliche Symptome einer Hirngeschwulst
Teratom: Plötzlich starke Schmerzen bei einer Stieldrehung
Eine Stieldrehung bezeichnet das Verdrehen eines Organs oder Tumors um seinen Gefäßstiel, wodurch die Blutversorgung unterbrochen wird. Diese Komplikation tritt vor allem bei Teratomen der Eierstöcke auf, ist aber auch am Hoden oder bei Tumoren im Bauchraum möglich. Typisch sind plötzlich einsetzende, starke Schmerzen. Eine Stieldrehung ist ein medizinischer Notfall.
Teratome am Steißbein bei Neugeborenen
Teratome bei Neugeborenen treten überwiegend im Bereich des Kreuz- oder Steißbeins auf. Sie gehören zu den häufigsten Tumoren in diesem Alter und sind meist bereits bei der Geburt als auffällige Schwellung sichtbar. In den meisten Fällen handelt es sich um reife, gutartige Teratome, die sich in der Regel gut behandeln lassen.
Lesetipp: CUP-Syndrom – Symptome bei Krebs mit unbekanntem Ursprung
Teratome sind Tumoren, die entstehen, wenn sich Keimzellen unkontrolliert vermehren. Keimzellen können sich grundsätzlich zu allen möglichen Gewebetypen entwickeln. Aus diesem Grund enthalten Teratome Gewebe, die dort eigentlich gar nicht hingehören: Haare, Zähne, Knochen oder Fettgewebe beispielsweise.
Teratome treten vor allem in den Eierstöcken oder Hoden auf, seltener etwa im Bauch oder Gehirn. Die meisten dieser Tumoren sind gutartig, in seltenen Fällen können sie jedoch bösartig sein oder Komplikationen verursachen. Welche Teratome es gibt, wo sie auftreten und was für Symptome sie hervorrufen, erfahren Sie in dieser Bildergalerie.
Hinweis: Diese Bildergalerie ersetzt keine ärztliche Diagnose. Die genannten Symptome können auch andere, harmlose Ursachen haben. Bei anhaltenden oder starken Beschwerden ist ärztliche Hilfe ratsam.
- Online-Informationen von Deximed: Teratome im Kindes- und Jugendalter: https://deximed.de/premium/home/klinische-themen/paediatrie/krankheiten/fehlbildungen-und-angeborene-erkrankungen/teratome-im-kindes-und-jugendalter (Alter: 01/2026)
- Online-Informationen des Pschyrembel: Teratom: https://www.pschyrembel.de/Teratom/K0MBK (Abruf: 01/2026)