- Home
- Ratgeber
- Schwangerschaft
- Ultraschall in der Schwangerschaft
- Bilder Ultraschall Schwangerschaft
Ultraschallbilder Schwangerschaft: Von Eizelle bis Baby
Die Entstehung von neuem Leben ist ein wahres Wunder. Mit jeder Woche wächst der Embryo und es bilden sich neue Körperstrukturen aus. Klicken Sie sich durch die einzelnen Ultraschallbilder einer Schwangerschaft.
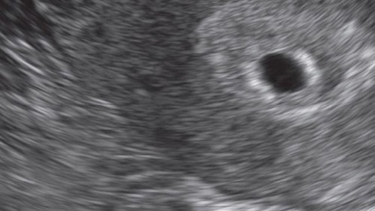
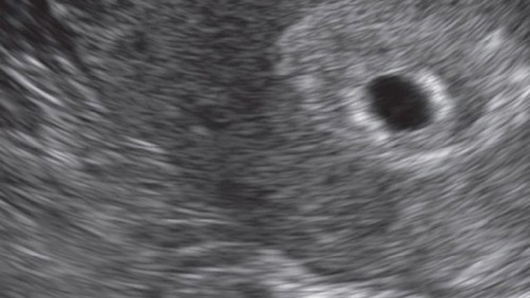
Ultraschall 4. SSW
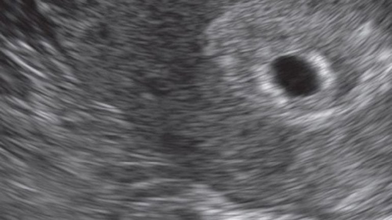
In der 4. Schwangerschaftswoche nistet sich die befruchtete Eizelle in der Gebärmutter ein. In dieser Phase der Frühschwangerschaft ist nur die Fruchthöhle (schwarz) zu sehen, da der Embryo noch zu klein ist. Das restliche Bild zeigt die gut aufgebaute Gebärmutterschleimhaut (Endometrium), in der sich die Eizelle einnisten kann.
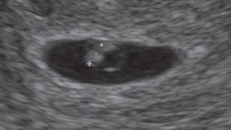
Ultraschall 5. SSW
Rechts im Bild ist die Fruchthöhle (schwarz) zu sehen. Der Embryo ist jetzt etwa zwei Millimeter lang und auf dem Ultraschall zu dieser Zeit oft noch nicht zu erkennen. Trotzdem beginnt in dieser Woche das Herz des Embryos zu schlagen.
Ultraschall 7. SSW
Links in der Fruchtblase ist der etwa fünf Millimeter lange, wie eine Bohne gekrümmte Embryo sichtbar. Der helle Kreis mit dunklem Fleck über dem Embryo ist der Dottersack, der den Embryo momentan noch mit Nährstoffen versorgt, bis die Plazenta diese Aufgabe voll übernehmen kann.
Ultraschall 8. SSW
Der Embryo misst jetzt etwa 15 Millimeter. Zur Orientierung: Der Embryo ist von vorne zu sehen, der Kopf liegt links im Bild. Arm- und Beinansätze lassen den Embryo wie einen kleinen Teddybären aussehen. Auf dem bewegten Ultraschall sind in dieser Woche die ersten, noch unkontrollieren Bewegungen zu erkennen.
Ultraschall 9. SSW
Der Embryo ist in der 9. Schwangerschaftswoche ungefähr zwei Zentimeter lang. Der kleine Schwanz bildet sich jetzt zurück, die Ohren werden langsam sichtbar. Der Fötus liegt links im Bild mit dem Kopf, der auf die Brust gesenkt ist, nach links. Rechts im Bild ist der Dottersack zu sehen.
Ultraschall 10. SSW
Der Fötus misst in der 10. Schwangerschaftswoche circa 2,5 Zentimeter (Scheitel-Steiß-Länge = SSL). Auf dem Ultraschallbild liegt er mit dem Kopf, der noch überdimensional groß ist im Vergleich zum restlichen Körper, nach rechts. Der Kopf ist auf die Brust geneigt, aber schon bald wird er sich nach und nach aufrichten.
Ultraschall 11. SSW
Auf dem Ultraschallbild sieht man nur die Beine des Fötus. Sie sind an den Knien im rechten Winkel gebeugt, die Füße zeigen nach oben. Die Füße sind schon deutlich ausgebildet und in den Beinen sind die langen Röhrenknochen, in den Füßen die Knochen der Zehen gut zu erkennen.
Ultraschall 12. SSW
Auf dem Ultraschallbild sieht man den Kopf und einen Teil des Oberkörpers. Im Kopf sieht man die Schädelknochen und die Anlagen von Kiefer und Zähnen, im Oberkörper den Knochen des Schlüsselbeins. Auch die kleine Nase und der Mund sind gut zu erkennen – und das, obwohl der Fötus nur fünf Zentimeter misst.
Ultraschall 14. SSW
Auf diesem Bild sieht man eine Zwillingsschwangerschaft mit zwei Fruchtblasen. Die meisten Zwillinge, ob eineiig oder zweieiig, haben eine eigene Fruchtblase und eine eigene Plazenta. Selten teilt sich die befruchtete Eizelle bei eineiigen Zwillingen erst spät in der Entwicklung in zwei Embryos auf, was zu einer gemeinsamen Fruchtblase und Plazenta führt. Ab dieser Woche kann man mit etwas Glück das Geschlecht des Babys erkennen.
Ultraschall 16. SSW
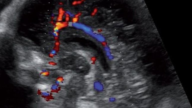
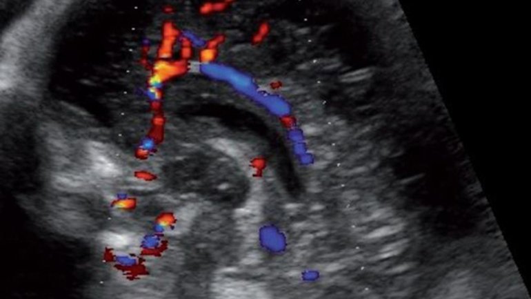
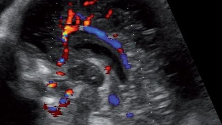
Auf dem Ultraschallbild ist die Nabelschnur zu sehen; sie versorgt das Baby mit Nährstoffen und Sauerstoff und transportiert Abfallstoffe ab. Der Blutfluss in den drei Blutgefäßen (1 Vene, 2 Arterien) lässt sich mithilfe des sogenannten Dopplerultraschalls farbig darstellen und untersuchen.
Ultraschall 17. SSW
Auf dem 3-D-Ultraschall erkennt man schon deutlich das kleine Gesicht des Fötus, der jetzt ungefähr 10,6 Zentimeter vom Scheitel bis zum Steiß (SSL) misst. Unter dem Kopf sind auch die Hände gut zu sehen. Links am Kopf entlang und dann über die Brust des Babys verläuft von oben nach unten die in sich gedrehte Nabelschnur.
Ultraschall 18. SSW
Auf dem Ultraschallbild erkennt man mit etwas Übung beide Hände und einen Fuß: Von rechts unten kommt der Fuß ins Bild, die Zehen zeigen nach links oben. Der Fuß liegt über den beiden Händen, die überkreuzt sind. Eine Hand kommt dabei von oben rechts ins Bild, die Finger beider Hände fächern sich nach links auf.
Ultraschall 27. SSW
Mit dem Dopplerultraschall kann auch der Blutfluss in den Blutgefäßen im Gehirn farbig dargestellt werden. Der*die Arzt*Ärztin überprüft so Reifung und Durchblutung des Gehirns und kann darüber bestimmte Krankheiten erkennen oder ausschließen.
Ultraschall 29. SSW
Auf dem Ultraschall sieht man einen kleinen Fuß, der mit der Sohle nach oben zeigt. Die Zehen zeigen nach rechts. Die Knochen des Fußes sind gut zu erkennen. In der 29. SSW kann man oft die Füße des Babys auch durch die Bauchdecke gut erkennen, wenn es sich streckt und die Füße gegen den Bauch stemmt.
Ultraschall 30. SSW
Der 3-D-Ultraschall zeigt das Gesicht des Babys und die beiden kleinen Hände. Etwa in der 30. Schwangerschaftswoche nehmen Babys die Fötusstellung ein, indem sie aus Platzmangel die Beine anziehen und die Arme vor dem Körper verschränken. Letzteres ist auf diesem Bild zu erkennen.
Ultraschall 32. SSW
Hier sieht man, dass dieses Baby ein Junge ist. Der kleine Penis ragt deutlich nach rechts ins Bild. Wenn das Baby günstig liegt, kann man schon um die 14. SSW das Geschlecht erkennen. Spätestens mit einem Ultraschallbild wie diesem ist dann aber klar, ob es ein Junge oder ein Mädchen wird.
Ultraschall 34. SSW
Hier ist ein perfektes kleines Ohr zu erkennen. Das Baby ist nun schon ein perfekter kleiner Mensch und muss bis zur Geburt lediglich an Gewicht und Größe zulegen.
Ultraschall 35. SSW
Auf diesem Bild sieht man den Kopf des Kindes von oben. Die hellen Punkte rechts im Bild sind Haare, die im Fruchtwasser schwimmen. Diese echten Haare lösen jetzt nach und nach die Lanugo-Behaarung ab, also den Flaum, der das Baby am ganzen Körper bedeckt – oft auch noch nach der Geburt.
Ultraschall 36. SSW
Dieses Baby ist ein Mädchen. Deutlich sind die äußeren, größeren und die inneren, kleineren Schamlippen zu sehen. Zwar ist das Geschlecht schon ab der 14. SSW zu erkennen – da aber anfangs die Klitoris noch rechts groß ist, kann sie schnell mit einem kleinen Penis verwechselt werden.
Ultraschall 39. SSW
Auf diesem Bild sind deutlich die vier Herzkammern und die Herzklappen zu erkennen. Das Herz schlägt jetzt schon seit 33 Wochen unablässig, was auf dem CTG gut zu hören ist.
Die Entstehung von neuem Leben ist ein wahres Wunder. Mit jeder Woche wächst der Embryo und es bilden sich neue Körperstrukturen aus. Klicken Sie sich durch die einzelnen Ultraschallbilder einer Schwangerschaft.